استغرقت 11 ساعة .. أول عملية زرع رئة من متبرع حى لمصاب بكورونا| صور

أجرى الأطباء في اليابان أول عملية زرع رئة في العالم من متبرع حي على لمريض يعاني من تلف رئوي شديد بسبب إصابته بفيروس كورونا الحاد.
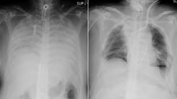
وقال الأطباء، إن امرأة يابانية أنقذت حياة امرأة من خلال عملية استغرقت 11 ساعة ونفذها فريق طبي مكون من 30 شخصًا بعد أن تبرع زوجها وابنها بأجزاء من رئتيهما.

وقال مستشفى جامعة كيوتو إن المستفيدة التي تم تحديدها فقط على أنها امرأة من منطقة كانساي بغرب اليابان ، تتعافى ، إلى جانب أفراد أسرتها المتبرعين.
زرع الأطباء أنسجة من رئتي زوجها وابنها السليمتين لاستبدال أجزاء من رئتي المريض الفاشلتين، حيث في حالة الزراعة من متبرع حي ، يلزم وجود متبرعين اثنين.

ووفقاً لصحيفة ديلي ميل البريطانية، يمكن أن يسبب Covid-19 تلفًا حادًا في الرئة لدى بعض المرضى ، وقد خضع الناس في جميع أنحاء العالم لعمليات زرع الرئة كجزء من تعافيهم.
لكن مستشفى كيوتو قال إنها نجحت في أول عملية زرع أنسجة رئوية في العالم من متبرعين أحياء لمريض كوفيد -19 مصاب بتلف في الرئة.













